
2025年9月27日,中國農業大學孫其信院士/邢界文教授團隊在Molecular Plant(IF: 24.1)在線發表了題為An incoherent feed-forward loop coordinates nitrate uptake and tillering in wheat的研究論文,該研究揭示了小麥中TaNLP3通過非一致性前饋環(incoherent feed-forward loop)協同調控硝酸鹽吸收與分蘗的分子機制,還鑒定出可直接用于育種的優異單倍型。藍景科信為該研究提供了DAP-seq技術支持。
文章主要內容
小麥作為近20%人口的主食來源,其產量和氮素利用效率(NUE)直接關系到糧食安全與農業可持續發展。自綠色革命以來,氮肥施用大幅提升了小麥產量,但如今增產效應已進入平臺期——過量施氮不僅降低NUE,還會催生大量無效分蘗,造成資源浪費。如何讓小麥在氮素波動環境中“智能"平衡硝酸鹽吸收與有效分蘗,成為小麥遺傳改良中的核心問題。
主要研究結果
核心發現一:關鍵基因鑒定與功能解析——鎖定硝酸鹽響應核心因子
1、關鍵標記基因鑒定:TaNRT2.1-6B4 是氮響應與分蘗的“信號樞紐"
本研究通過對缺氮后復氮處理的小麥幼苗進行不同時間點(15min、1h、6h)RNA-seq分析,結合GO富集分析與候選基因關聯分析,鑒定到TaNRT2.1-6B4為小麥硝酸鹽響應關鍵標記基因,其表達量與分蘗數呈顯著正相關,且受硝酸鹽強烈誘導(轉錄水平提升5-180倍),成為連接氮吸收與分蘗發育的關鍵“信號樞紐"。
2、核心調控因子鑒定:TaNLP3 是平衡氮吸收與分蘗的“總開關"
通過酵母單雜篩選TaNRT2.1-6B4的上游調控因子,團隊鑒定出NIN-like蛋白家族成員TaNLP3。轉錄組數據顯示,TaNLP3不受短期施氮誘導,且在不同氮磷供給組合條件下表達量保持穩定。亞細胞定位、瞬時熒光素酶(LUC)、酵母轉錄激活實驗等技術驗證基因表達特征與轉錄激活功能。結果顯示TaNLP3作為硝酸鹽信號通路的核心轉錄因子,定位于細胞質與細胞核,硝酸鹽處理可促進其核滯留,其C端具有轉錄激活活性,N端片段次之,全長蛋白的激活活性最弱。
圖1 TaNRT2.1-6B4 是受TaNLP3正調控的關鍵硝酸鹽響應標記基因
利用CRISPR-Cas9技術構建TaNLP3敲除株系,通過田間試驗(正常氮/低氮條件)與水培試驗,系統分析植株表型、氮含量及15N吸收速率,結果顯示TaNLP3敲除顯著降低小麥株高、分蘗數及產量,且在正常氮條件下表型缺陷更顯著,但植株氮含量未受影響;此外在硝酸鹽誘導(NI)條件下敲除TaNLP3抑制硝酸鹽吸收,而在低氮(LN)和正常氮(NN)穩態條件下不影響甚至促進吸收。表型分析表明,TaNLP3以氮素依賴的方式調控硝酸鹽吸收和小麥分蘗——在硝酸鹽誘導(短期氮信號)下,它主要促進硝酸鹽吸收;在正常氮供應(長期氮信號)下,它更側重調控分蘗發育,適配小麥在不同氮環境中的生長需求。
圖2 TaNLP3在短期和長期硝酸鹽處理下調控不同基因的表達
核心發現二:硝酸鹽信號調控網絡構建——解析協同調控分子路徑
1、TaNLP3–TaLBD38–TaNRT2.1 構成非一致性前饋環路
為解析TaNLP3在短期和長期硝酸鹽信號中功能背后的調控網絡,作者對TaNLP3敲除株系與Fielder對照在不同氮條件(NN、NS、NI)下的根系和地上部分進行轉錄組測序(RNA-seq),鑒定到調控小麥分蘗過程中的關鍵下游候選基因TaLBD38,原位雜交結果顯示,TaLBD38與TaNLP3均在小麥分蘗芽中表達,隨后通過對正常氮條件下生長的Fielder 和Tanlp3-4的分蘗芽進行了轉錄組測序驗證了TaNLP3–TaLBD38調控級聯在分蘗發育中的作用。
不同氮素條件下TaNRT2.1家族基因與TaLBD38的表達熱圖顯示,二者具有基因特異性的硝酸鹽響應模式,結合此前研究證實LBD家族成員參與氮素利用和地上部分枝調控,作者提出:小麥硝酸鹽信號通路中,TaNLP3、TaLBD38與TaNRT2.1構成非一致性前饋環路:短期信號中,TaNLP3感知硝酸鹽信號后進入細胞核,激活TaNRT2.1以增強硝酸鹽吸收,同時誘導TaLBD38 表達;長期信號傳導中,積累的TaLBD38蛋白會抑制TaNRT2.1的表達,避免硝酸鹽過量吸收,進而促進分蘗形成。進一步EMSA、LUC、ChIP-qPCR等分子實驗表明TaNLP3可結合并激活TaNRT2.1-6B4和TaLBD38-4A的啟動子;而TaLBD38則結合并抑制TaNRT2.1-6B4的啟動子。EMS突變體的RT-qPCR、表型與氮含量測定證實TaLBD38缺失會致氮吸收異常與發育缺陷。上述結果均證明該環路實現了硝態氮吸收與分蘗形成的動態平衡。
圖3 TaNLP3通過非一致性前饋環調控TaNRT2.1與TaLBD38的表達,進而協同調控硝酸鹽吸收與分蘗
2、TaLBD38通過抑制TaCKX4/5調控分蘗
為篩選TaLBD38介導的分蘗調控關鍵基因,作者對野生型和3個TaLBD38 RNAi株系10天齡幼苗進行了轉錄組測序。根的轉錄組分析結果顯示,TaLBD38調控的差異基因廣泛參與養分利用過程,包括硝酸鹽轉運與同化、氨基酸轉運、鐵離子轉運及磷酸鹽調控。與根系DEGs不同,莖部DEGs富集于BR、赤霉素(GA)和細胞分裂素(CK)信號通路。由于TaLBD38是一種轉錄抑制因子,其直接調控靶點在RNAi細胞系中被上調。根據這一標準,結合水稻相關研究推斷出TaCKX4/5是介導TaLBD38調控分蘗的主要下游靶點。隨后通過RT-qPCR,LUC和EMSA實驗證實TaLBD38直接結合并抑制細胞分裂素降解酶基因TaCKX4/5的啟動子,提高局部細胞分裂素水平,促進分蘗形成。
圖4 TaLBD38通過在根部抑制TaNRT2.1家族基因的表達以限制硝酸鹽吸收,同時在地上部抑制TaCKX4/5的表達以促進分蘗
核心發現三:染色質層面調控——TaNLP3與SWI/SNF復合物協同“解鎖"靶基因
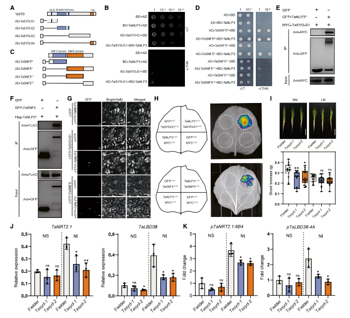
為了揭示TaNLP3調控基因表達的深層機制,作者以TaNLP3為誘餌進行Y2H實驗,鑒定出62個候選相互作用物。其中,SWI/SNF染色質重塑復合物為關鍵物質。Co-IP、LUC和雙分子熒光互補實驗進一步證實TaNLP3無論體內體外均可與SWI/SNF亞基TaSYD、TaSNF5直接相互作用。
圖5 SWI/SNF 染色質重塑復合體與 TaNLP3 相互作用,調控小麥硝酸鹽響應
為了研究TaNLP3敲除是否在全基因組水平上影響染色質狀態,團隊運用轉座酶可及性染色質測序(ATAC-seq)分析TaNLP3敲除株系與Fielder對照在NS和NI條件下的全基因組染色質可及性差異。結果顯示TaNLP3是硝酸鹽誘導的染色質重塑關鍵調控因子,并且鑒定到23365個受硝酸鹽和TaNLP3共同調控的可及染色質區域。為進一步明確哪些差異可及染色質區域可能受TaNLP3直接調控,作者進行了DNA親和純化測序(DAP-seq)鑒定TaNLP3的直接靶基因。兩個重復交集中鑒定到18941個靶基因,這些18941個基因共鑒定出54018個峰,其中90%的結合峰位于轉錄起始位點(TSS)上游5kb調控區。整合ATAC-seq和DAP-seq數據分析發現,4008個基因既與硝酸鹽和TaNLP3共同調控的可及染色質區域相關,又是DAP-seq鑒定的TaNLP3直接靶基因,這些重疊基因中包含許多氮素相關基因,包括參與硝酸鹽吸收、硝酸鹽同化和硝酸鹽信號調控的基因。IGV峰圖,顯示TaNRT2.1-6B4和TaLBD38-4A位點的染色質可及性顯著提高,且存在TaNLP3強結合信號,這些位點的DAP-seq峰為TaNLP3直接結合并調控這些關鍵硝酸鹽響應基因的啟動子提供了有力證據。染色質可及性的增加通常伴隨著活躍的表觀遺傳修飾,因此檢測了四個氮相關基因(TaNRT2.1-6B4、TaNIA1-6A、TaNIA1-6B 和TaLBD38-4A)啟動子區域的H3K9ac水平。ChIP–qPCR結果顯示NI條件下,Fielder中H3K9ac水平顯著高于NS條件;而敲除TaNLP3后,NI條件下H3K9ac水平大幅下降。
圖6 TaNLP3 通過調控其靶基因處的染色質可及性,進而調控硝酸鹽響應基因的表達
核心發現四:育種新資源——3個優異單倍型實現“高產+高NUE"
為評估TaNLP3-TaLBD38-TaNRT2.1調控模塊的育種潛力,團隊對405份小麥種質資源(359個栽培種、46個地方品種)進行單倍型分析,鑒定出3個關鍵基因的優異單倍型:TaNLP3-3BHap2、TaLBD38-4AHap2 和 TaNRT2.1-6B4Hap1。這些優異單倍型在現代栽培種中的頻率呈下降趨勢(部分從70%降至30%),這為通過分子標記輔助育種、回補優異單倍型提供了重要靶點——將這些單倍型聚合到同一品種中,有望培育出“低氮高產、高氮高效"的小麥新品種。
圖7 小麥種質資源中TaNLP3、TaLBD38 及 TaNRT2.1的單倍型分析
小結
該研究闡明了TaNLP3作為核心調控因子,通過與SWI/SNF復合體協作重塑染色質可及性,借助不一致性前饋環實現硝酸鹽吸收與分蘗形成的時空協同。不僅深化了對作物氮信號網絡的理解,也為通過分子設計培育“高產高效"小麥品種提供了新靶點與遺傳資源。
圖8 TaNLP3介導的染色質可及性調控及小麥氮-分蘗平衡模型
